Faccette e corone dentali a partire da 26€ al mese
+ sbiancamento dentale GRATUITO!

Il sorriso di Hollywood in solo un paio di visite al nostro Centro a Spalato (Croazia)!

Affrettati perché questa irresistibile offerta sulla costa croata scadrà presto!

Giorni
Ore
Minuti
Secondi

(Il prezzo è calcolato per una faccetta o corona per pagamento con carta per 12 mesi)

Ritrova la fiducia perduta!

Insodidfatto con il tuo sorriso?! Non ti senti bene per l asspeto dei tui denti?!

Non sei solo. Molte persone non si sentono bene perche non si possno ridere dal cuore con bocca aperta ma perche?! Perche non hanno un sorriso bello e sicuro.

Ma se ti diciamo che è possibile avere un sorriso di Hollywood…ci crederesti?

Permettici di presentarti le faccette dentali e le corone: la soluzione definitiva per un sorriso incredibile!

Non è mai stato così facile avere un bel sorriso!

Le corone e le faccette dentali sono parte dei trattamenti estetici dentali che migliorano notevolmente tuoi denti. 

Sei preoccupato con il problemi dei denti, puo essere che non ti piachono tuoi denti colorati o con vecchie otturazioni pigmentate, denti grigi o scuri, denti storti, “denti separati”, denti che mancano, denti scheggiati o fratturati, denti piccoli, allora faccette dentali e corone sono la soluzione ideale per te!

Di quale di questi trattamenti avrai bisogno in un d’accordo con te e considerando i tuoi desideri  il nostro dentista specialista dopo la visita.

E la cosa migliore è che otterrai il tuo nuovo sorriso in poche visite dal dentista.

La differenza nei trattamenti

Faccette o corone dentali?

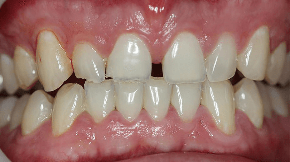
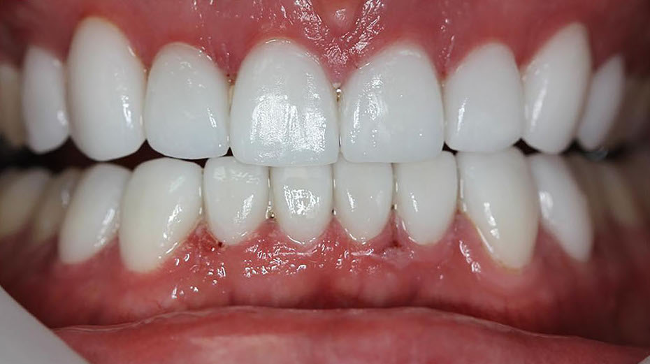
Prije Poslije

01. Faccette dentali

Le faccette dentali sono strutture protesiche in ceramica sottili, minimamente invasive, che vengono incollate alla superficie anteriore del dente naturale.

Per attaccare la faccetta, è necessario lavorare un minimo il dente sottostante; solo in alcuni casi l’incollaggio può avvenire senza alcuna preparazione di base. Inoltre, sono un metodo non invasivo e duraturo che non lascia alcuna conseguenza sulle gengive.

Le faccette dentali sono un trattamento cosmetico molto popolare tra le celebrità e coloro che cercano un sorriso perfetto. Il segreto della bellezza dei denti sono le cosiddette faccette. La maggior parte delle persone è attraente grazie al viso, quindi i denti svolgono un ruolo molto importante. 

02. Corone dentali

Corone dentali, sono una copertura artificiale che viene posizionata sopra un dente danneggiato serve per proteggerlo e ripristinarne estetica e funzionalità.

Le corone dentali, possono essere realizzate con diversi materiali, come ceramica, porcellana o metallo e sono utilizzate quando il dente ha carie, denti usurati (ad esempio a causa di un incidente), per stabilizzare i denti curati (ad esempio a seguito di un trattamento endodonti), per proteggere i denti naturali e per fissare alla dentatura restauri, protesi o ponti dentali, per interventi estetici ai denti anteriori subito una carie avanzata, è stato rotto o fratturato.

In questo modo, la corona dentale, riesce a proteggere il dente sottostante e a impedire ulteriori danni o fratture. Inoltre, la corona dentale è in grado di migliorare l’aspetto estetico del dente danneggiato e, di conseguenza, del sorriso del paziente.

Prije Poslije

Come si presenta il processo di posizionamento delle faccette e delle corone?

01. Esame dei denti

Durante la prima visita eseguiamo un protocollo diagnostico completo che comprende esame clinico, diagnostica radiologica, fotografia del viso e dei denti, progettazione e mock up digitale del sorriso in modo da poter visualizzare immediatamente l'aspetto futuro dei tuoi denti.

02. Preparazione, molatura e scansione dei denti

Prima della terapia è necessario preparare il dente (pulizia del tartaro, trattamento dentale, ecc.) e, a seconda della terapia, digrignare il dente. Successivamente, sulla base dei denti scansionati, i nostri tecnici si occupano della progettazione di faccette e/o corone, personalizzate secondo i vostri desideri.

03. Prove e rifiniture finali

Alla visita successiva, il dentista cementa temporaneamente il prototipo di faccette e/o corone, che fungono da prova in cui vengono concordati tutti i dettagli e le eventuali correzioni. Dopo che il prototipo è stato perfezionato e concordato il colore desiderato, il design concordato entra in produzione per il restauro in zirconio finito.

04. Collocamento

Il processo si conclude con la cementazione permanente del lavoro finito e le istruzioni per una corretta igiene dentale, oltre all’organizzazione di controlli annuali regolari.

Chi siamo - Creatori di sorrisi che cambiano la vita!

All’inizio del 2023, Zirconium Center si è trasferito in uno spazio molto più ampio, dotato di attrezzature all’avanguardia, con una superficie di 1.000 m2. Organizza una visita GRATUITA e dai un’occhiata al nuovo studio dentistico che ti lascerà a bocca aperta.

Ci occupiamo di medicina dentale da 20 anni e più di 10.000 dei nostri pazienti soddisfatti, nonché numerosi titoli dei migliori medici in Croazia, parlano meglio della nostra esperienza e degli eccellenti risultati.

La qualità è da sempre il nostro obiettivo, ed è proprio per questo che ci assicuriamo di lavorare con i migliori materiali e dispositivi.

Ciò che ci distingue dagli altri sono sicuramente i prezzi ragionevoli dei nostri servizi, che consentono ai nostri pazienti soddisfatti di avere un sorriso nuovo e sano.

0
Dentista
0 +
Pazienti soddisfatti
0
Anni di esperienza
0 x
Miglior medico in Croazia

A 3 passi da un sorriso perfetto...

Il primo passo

Compila il modulo di contatto sottostante

Secondo passo

Ti chiameremo per fissare un sopralluogo gratuito

Il terzo passo

Vieni a Spalato dove inizieremo il trattamento, dopo il quale sarai orgoglioso di sfoggiare il tuo nuovo sorriso